Dentist in Glasgow West End
Welcome to Our Glasgow Dental Practice
Crystal Dental Care is a private dental practice in Glasgow offering dental implants, Invisalign & cosmetic dentistry from an experienced dentist in Glasgow.
Experienced Cosmetic Dentistry in Glasgow
We offer a choice of private cosmetic dentistry to patients in our Glasgow dental clinic. Dr Murphy has a wealth of experience and attracts referrals from dentists in Glasgow and throughout Scotland. Contact us today. We'll be glad to hear from you.
Dental Implants in Glasgow
Dental Implants offer a great alternative to dentures for replacing broken or missing teeth. Dr Murphy and Dr Khalid have a wealth of implant experience and will take time to explain your option for replacing a broken tooth, missing teeth or any unsightly gap, including solutions such as All-on-4 dental implants where appropriate.
Many NHS patients choose to replace an NHS denture when it becomes uncomfortable, loose, or difficult to maintain. It’s common for patients to seek an alternative after visiting an NHS dentist and finding the fit or function no longer meets their needs. At Crystal Dental Care, Dr Murphy regularly sees private patients who want a more secure and long-lasting option. After a full assessment, he discusses suitable treatment choices and creates a clear plan based on comfort, oral health, and long-term results.
Porcelain Veneers
Porcelain Veneers in Glasgow offer a refined cosmetic solution for discoloured, stained, or chipped teeth..
They take the form of thin, custom-made coverings placed over the front of teeth to enhance their shape and alignment naturally.
At our Glasgow clinic, we work with a trusted dental lab to ensure each veneer is carefully shade-matched, so your new smile blends seamlessly with your existing teeth.
Clear Braces
Our clear braces solutions straighten your teeth in the shortest possible time. We use various discrete forms of short term orthodontics and friends often report they weren't even aware you are wearing braces.
We have many years of experience in dental braces, fitting Invisalign, Six Month Smiles, Inman Aligner and other well-known orthodontic treatments and after a free initial consultation, we will help you choose the right kind of braces for your teeth.
Six Month Smiles Journey
Our own Rebecca, who has worked at Crystal Dental Care for several years, is a big fan of Six Month Smiles.
We documented her progress all the way to a radiant blemish-free smile on this website. We even strapped a GoPro camera to Dr Murphy's forehead (at great risk to his circulation!)
You can follow along on her Six Month Smiles journey here.
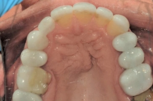
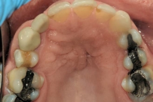
White Fillings - A More Natural Look
Old metal fillings had their time and place - and many of us were left with a mouth full of them. But technology moves on and we are now able to replace your old fillings with something much more cosmetic and closer to the shade of your natural teeth.
As you can see from these before and after photographs of a patient in our Glasgow practice, the difference is like night and day!
Composite Bonding
Composite bonding (often referred to as tooth bonding or dental bonding) is a widely chosen cosmetic dental treatment in Glasgow. It is used to repair chipped teeth, close small gaps, improve the shape of uneven teeth, and mask dark or discoloured areas.
Composite bonding in Glasgow is a quick and comfortable treatment, and in most cases it does not require drilling or local anaesthetic. Many patients choose it as a simple way to improve the appearance of their smile with minimal intervention.
Request a Dental Consultation Today
Your initial consultation at our private dental clinic in Glasgow is free with no strings attached. There is no treatment at this stage. We will just help you plan a route back to great dental health. Contact us today.
Trusted by Patients Across Glasgow
"I had an excellent service from Brendan and his team. I was nervous about getting an implant but the process was explained in detail and when the day came, I found it a more pleasant experience than having a conventional filling! (How does he manage to give painless injections?) I would have no hesitation whatsoever in recommending this practice and would encourage anyone hesitating to consider cosmetic dentistry to speak to Brendan."
Gordon Chapman
"I heard that Glasgow prices were competitive for cosmetic dentistry and I'm up there from the midlands regularly seeing family. I've been getting invisible braces treatment and can't believe how they've moved in only 3 months. Brendan Murphy's reputation and the way he dealt with my online assurances etc - I knew what the cost was before he saw me.....that sealed it. Now I can't wait for the final result. It's been painless and totally hassle-free."
John Dobson
"I'm apprehensive about going to the dentist and they were quite disarming. I didn't feel hurried or crowded. Quite the opposite, it was relaxing. Dr. Murphy is very professional but at the same time personable. I would recommend Crystal Dental Care."
Michael Gallacher
"I cannot rate Dr Brendan Murphy and his team highly enough. The service I received was excellent, everything was fully explained and I was put at ease from the beginning to end of my treatment."
Catherine Moran
"Moved to Glasgow recently and a friend recommended Crystal Dental Care. Needed two porcelain veneers replaced and asked for whitening too. Delighted with the entire process. All staff were friendly and professional, Brendan explained process clearly and the procedures were painless. Very happy!"
Maureen Finn
"I can’t recommend Brendan and his team highly enough. They really took the time to put me at ease and explain the process and different stages during my treatment. I have never dealt with anyone who I felt I could trust as much as Brendan. I would now never go anywhere else for my dental care Brendan’s practice."
Mandy Crawford
Frequently asked questions
Crystal Dental Care is a private dental practice in Glasgow focused on high-quality private treatments such as implants, cosmetic dentistry, braces, veneers, and routine private dental care.
"Dr. Murphy is very thorough, knowledgeable, honest, and kind. I highly recommend their dental practice."
Alicia, patient review on Google
Visit Our Glasgow Dental Clinic
We are easy to get to via public transport with Partick Station just five minutes away. There are also shops with parking beside us at Glasgow's West End Retail Park. Check out the map below to find our dental clinic on Dumbarton Road.
Experienced and Friendly Dental Team for Nervous Patients
If you haven't visited a dentist in Glasgow for years or you are particularly nervous about dental treatment, don't worry, we can help. We have lots of ways of making the experience easier for you and our experienced dentist in Glasgow are great at making our patients feel relaxed and welcome. Also, if you come in for a consultation we won't do any treatment the first time we see you unless you ask us to. Simply contact us today on 0141 334 8792 and we'll take it from there.
Why Choose Our Glasgow Dental Clinic
- Initial consultations are free of charge at our Glasgow dental practice
- Our prices are transparent and fair.
- Payment agreements including 12 months interest free credit are available to help spread the cost.
- Discounts are available when more than one tooth is either crowned or veneered.
- Whitening will be available at a discount prior to crowns or veneers.
- Every patient who refers a family member or friend as a new patient at our Glasgow dental clinic will be entitled to a free hygiene visit.
